• Mala aleja 15, 71210 Ilidža

Okom gledali, pod mikroskopom uočili, pametni telefon mudro iskoristili!

  • Home
  • Okom gledali, pod mikroskopom uočili, pametni telefon mudro iskoristili!
Shape1 Shape2 Shape3 Shape4 Shape5 Shape6 Shape7 Shape8 Shape9 Shape10
Okom gledali, pod mikroskopom uočili, pametni telefon mudro iskoristili!
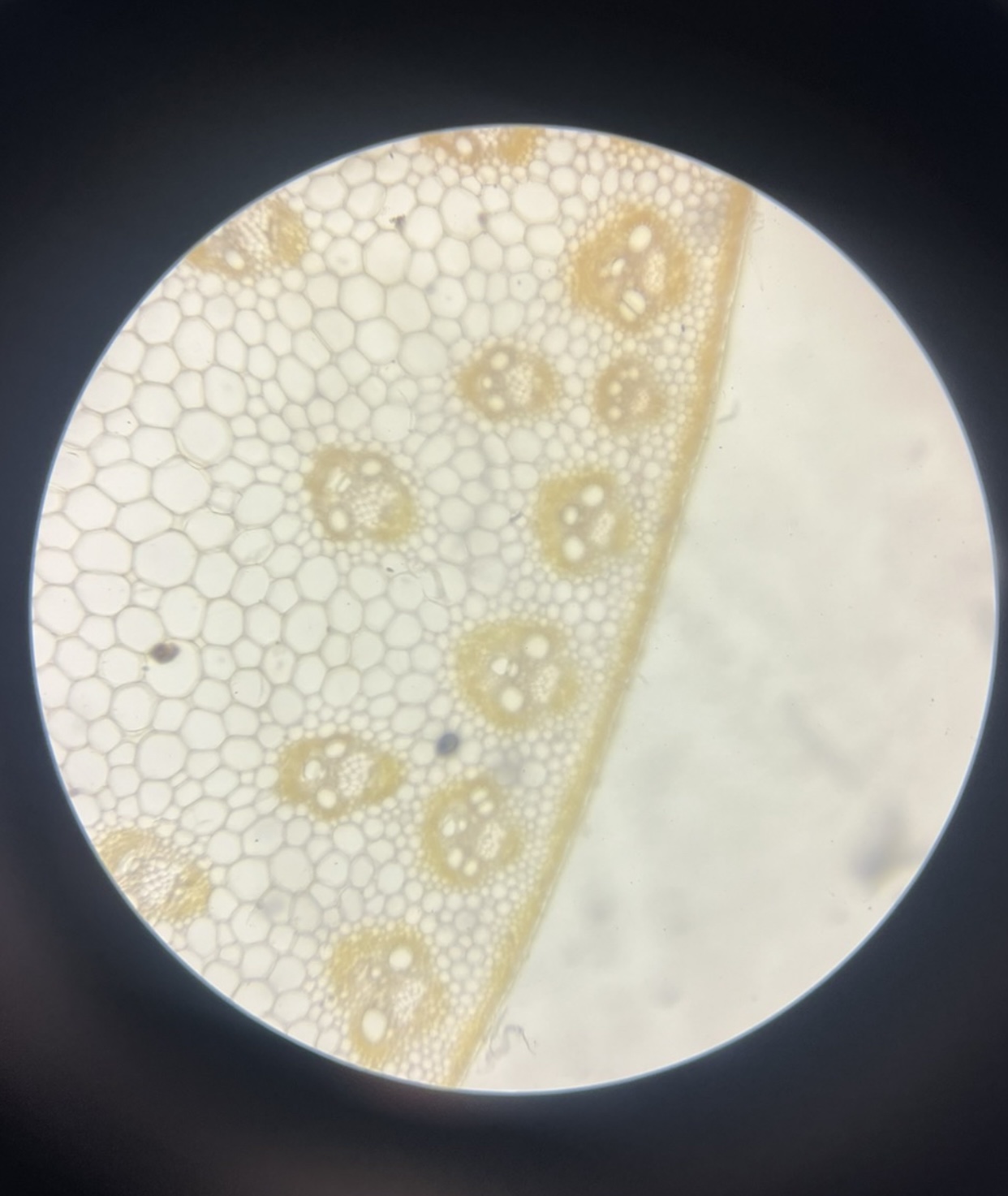
🔬👀📱✨ Na časovima biologije naši su učenici, koristeći novu opremu, nastavili svoje istraživačke avanture. 🔍 Ovoga puta dijele s nama ono što su otkrili kroz sočiva novih mikroskopa! 🧫🌿 Učenici VII razreda proučavali su građu stabla, dok su učenici VI razreda istraživali mikroorganizme iz bare – i otkrili cijeli skriveni svijet! 🌱🦠💡